디투덴탈 디투덴탈

당신의 미소에

자연스러운 빛을 더하는

일루미네이트

100% 무삭제 라미네이트
Production point

한계를 벗어난 정교함

D2덴탈의 illuminate는 극한의 정밀한 제작기술로 최종 보철에 사용되며
탄성이 높아 파절에 강한 고급 소재인 Nano ceramic hybrid 를 사용하여
0.2mm 이내의 영역을 완벽하게 구현 하였습니다.

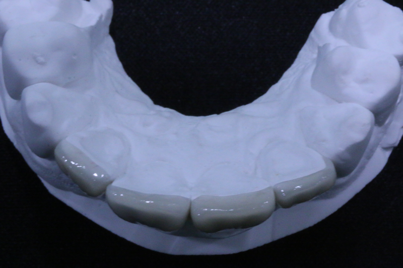
Proximal margin의 경우 정교한 100% 수제작으로
최대 0.03mm 이내로 제작되고 있습니다.

Design Point

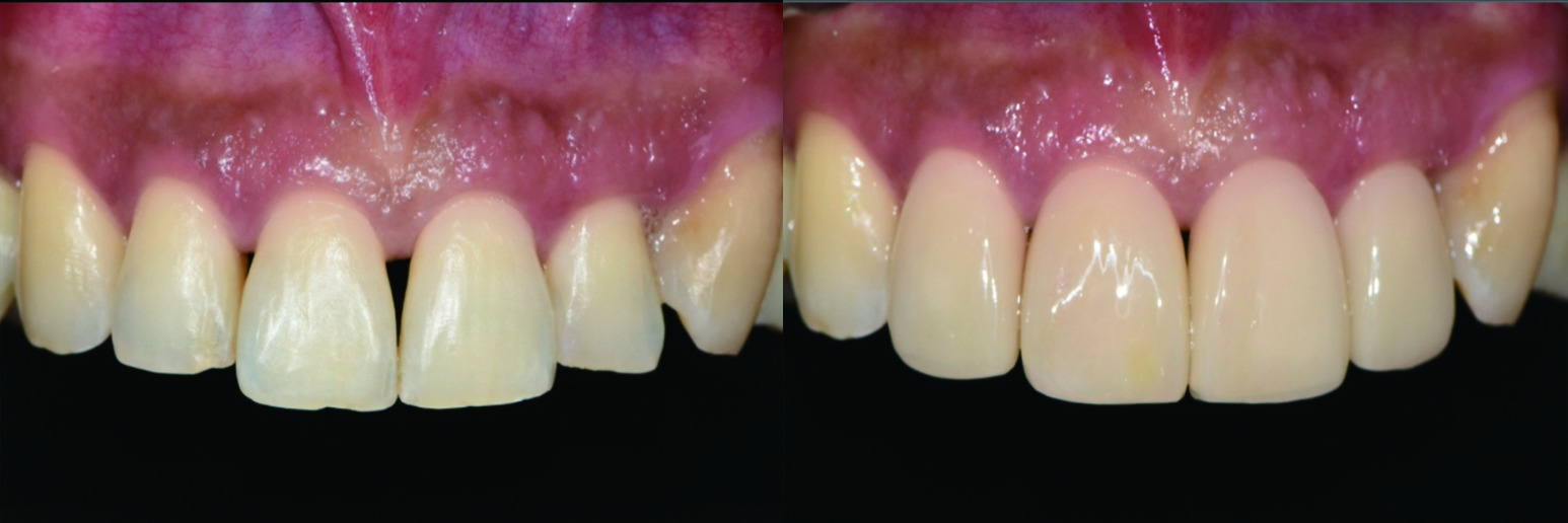
자연스러운 Texture 구현

D2덴탈의 illuminate는 국내 최고 수준의 CAD/CAM Designer의
감각으로 치아 표면의 Texture 를 자연스럽게 표현하며
정교한 Proximal margin 으로 원래 자신의 치아인 것 같은
느낌을 줍니다.

Illuminate는 피시술자의 높은 만족도를 자랑합니다.

Dental business

치과와 함께하는 비즈니스

D2덴탈의 illuminat는 100% Non-prep 시술이 가능하여
치과의 Chair Time의 가치를 높혀 드립니다.

D2덴탈과 함께 하시면 다양한 마케팅 컨셉과 운영관련
무료 컨설팅을 함께 제공해 드립니다.

100% 정교한 수제작 이미지
자연스러운 치아 구현 이미지
치과와 함께하는 비즈니스 이미지

치료사례

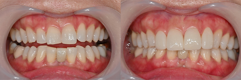
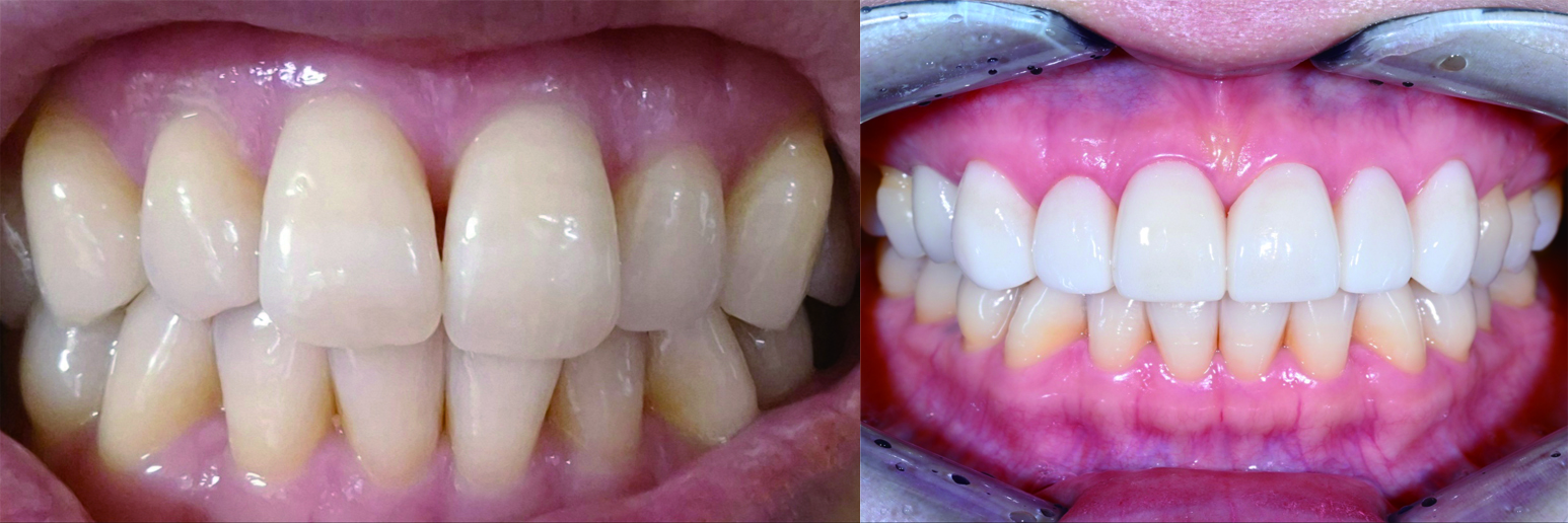
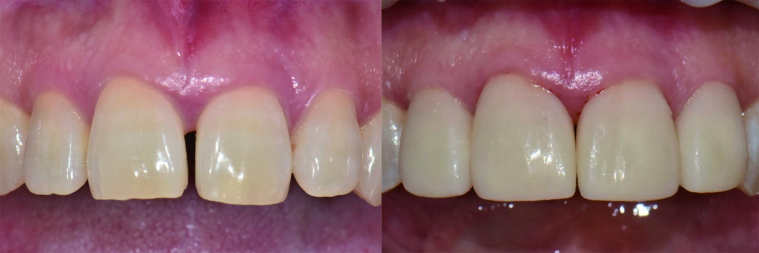
G치과 50대 여성 (상 6개시술)
B치과 20대 여성 (상 4개시술)
B치과 70대 여성 (상 4개시술)
E치과 30대 여성 (상 4개시술)
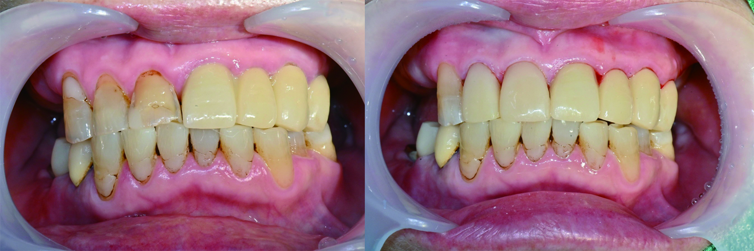
E치과 40대 남성 (상 3개, 하 4개시술)
G치과 40대 남성 (상 4개시술)
G치과 40대 여성 (상 4개시술)
S치과 30대 여성 (상 4개시술)
G치과 50대 남성 (상 4개시술)

Illuminate Gallery